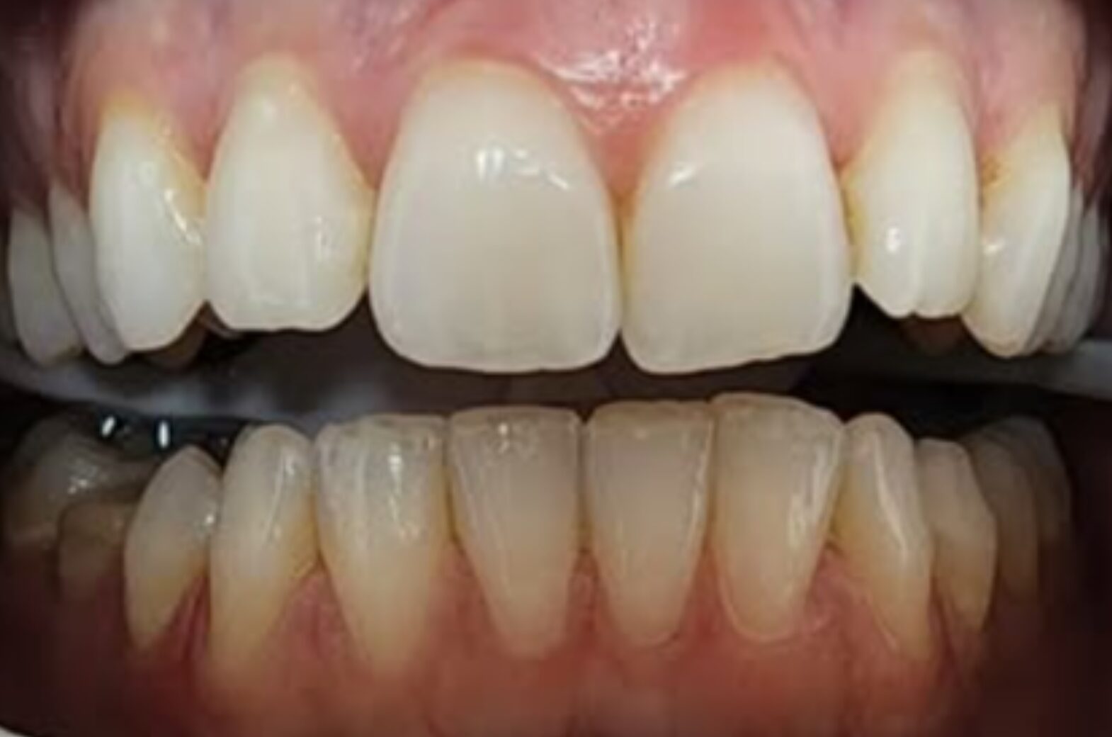
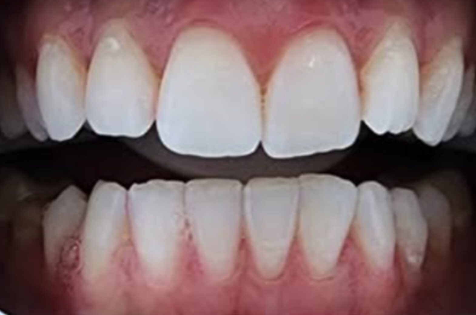
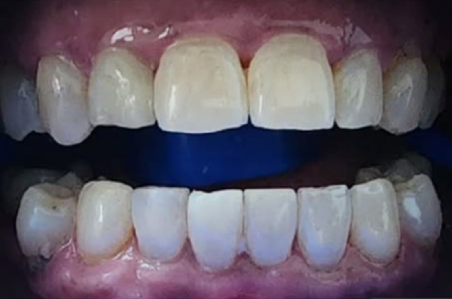
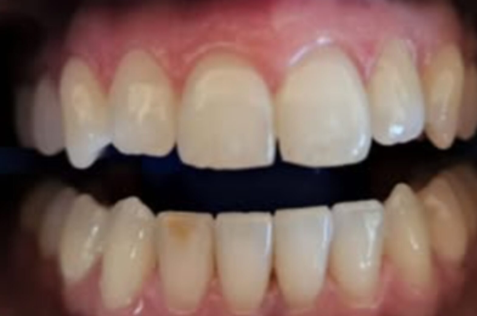
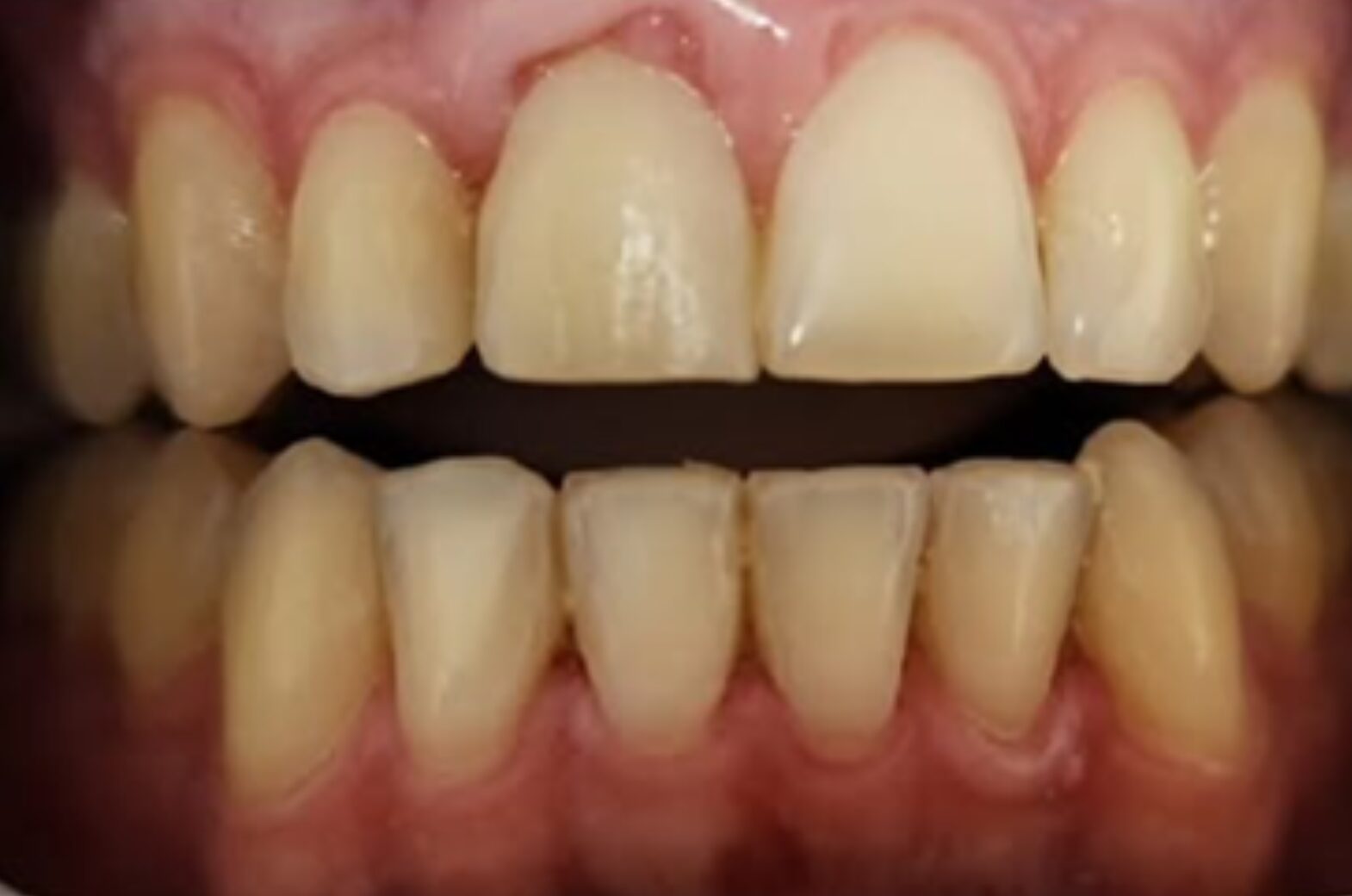
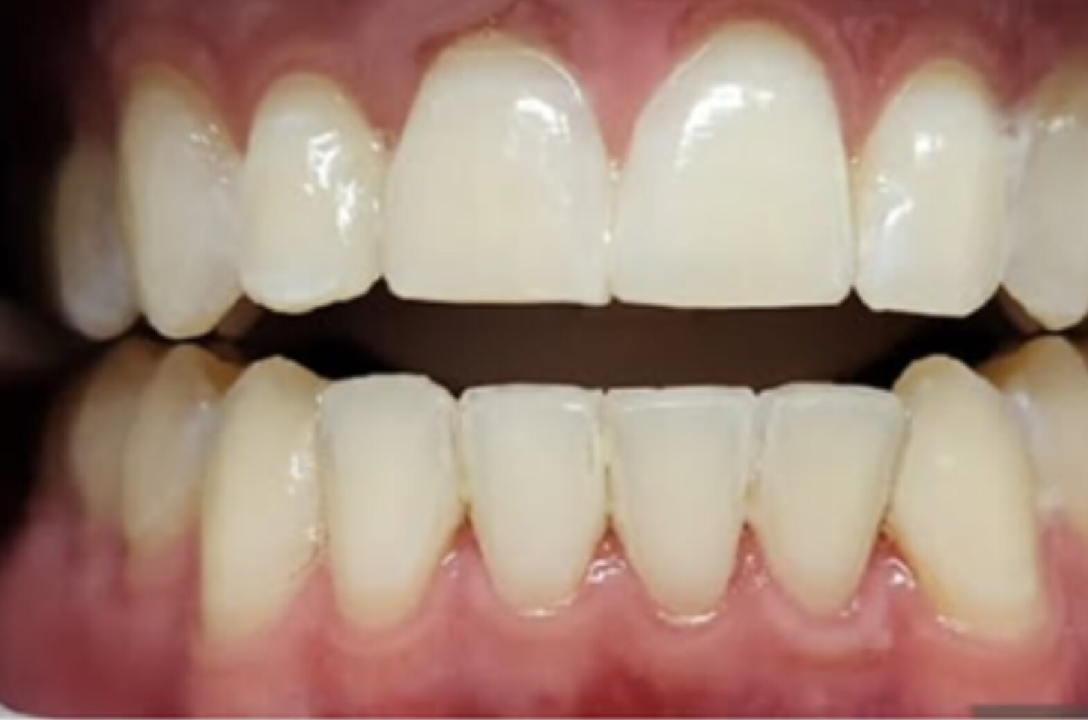
Dental cleaning is a professional procedure that removes plaque, tartar, and stains from the teeth, promoting oral health and preventing gum disease.
Dental cleaning is a professional procedure that removes plaque, tartar, and stains from the teeth, promoting oral health and preventing gum disease.
Our laser hair removal treatments provide a safe and effective solution for long-lasting hair reduction. Using advanced laser technology, we target and destroy hair follicles at the root, leaving your skin smooth and hair-free. This treatment is ideal for both men and women, and can be applied to areas such as the face, legs, arms, back, and bikini line. With personalized care based on your skin type and hair texture, we ensure a comfortable experience and optimal results. Say goodbye to razors and waxing, and enjoy the convenience of smooth, hair-free skin with our expert laser hair removal services.
A scaling tool is used to remove plaque and tartar buildup. Teeth are polished to remove stains and smooth the surface. Fluoride treatment may be applied to strengthen enamel and protect against cavities.












I love my results! The Botox treatments were subtle yet effective—exactly what I wanted. The team made me feel comfortable and confident throughout the process.

The dermal fillers gave me a refreshed, natural look. I’ve never felt better about my appearance, and the staff’s expertise really shows in the results.

The staff was welcoming, and the doctors were highly professional and attentive. They thoroughly explained each step of my treatment, ensuring I felt comfortable and confident. The results exceeded my expectations—natural and subtle, just as I wanted.

After my chemical peel, my skin looks radiant and smooth! The clinic provided excellent care and tailored the treatment to my needs. I highly recommend them!

The laser hair removal treatments have been life-changing! No more constant shaving, and my skin feels so smooth. The clinic’s staff was professional and made the whole experience easy.

You’re sitting down with your first cup of coffee of the day when it hits you: a zing in your tooth… Don’t worry, our team of Portland dentists can help! We offer general dentistry and a full range of restorative and cosmetic dental treatments for people and families in NE Portland, SE Portland, Downtown, and Bethany. Let’s keep your teeth happy!
The new common language will be more simple and regular than the existing European languages. It will be as simple as Occidental; in fact, it will be Occidental. To an English person, it will seem like simplified English, as a skeptical Cambridge friend of mine told me what Occidental is. The European languages are members.
To an English person, it will seem like simplified English. Their separate existence is a myth. The new common language will be more simple and regular than the existing European languages. It will be as simple as Occidental; in fact, it will be Occidental. To an English person, it will seem like simplified English, as a skeptical Cambridge friend of mine told me what Occidental is. The European languages are members of the same family.
The new common language will be more simple and regular than the existing European languages. It will be as simple as Occidental; in fact, it will be Occidental. To an English person, it will seem like simplified English, as a skeptical Cambridge friend of mine told me what Occidental is. The European languages are members of the same family. Their separate existence is a myth.
CONTACT US
Tel: 064 619 0314
Email: info@lsmda.co.za
Practice No: 1169408
ADDRESS
Northcliff Medical Centre, 252 Beyers Naude Drive
Corner of Acacia Road – Annex 3
Monday
14h00 – 17h00
Tuesday – Friday
07h30 – 17h00
Saturday
07h30 – 13h00
ADDRESS
Northcliff Medical Centre, 252 Beyers Naude Drive
Corner of Acacia Road – Annex 3
Monday
14h00 – 17h00
Tuesday – Friday
07h30 – 17h00
Saturday
07h30 – 13h00
CONTACT US
Tel: 064 619 0314
Email: info@lsmda.co.za
Practice No: 1169408
CONTACT US
Tel: 064 619 0314
Email: info@lsmda.co.za
Practice No: 1169408
ADDRESS
Northcliff Medical Centre, 252 Beyers Naude Drive
Corner of Acacia Road – Annex 3
Monday
14h00 – 17h00
Tuesday – Friday
07h30 – 17h00
Saturday
07h30 – 13h00